A new lump can be surprisingly easy to ignore. It does not hurt, it feels like it has always been there, and life keeps moving. Many people only start paying attention when it grows, starts to get in the way, or simply does not feel like the sort of bump that should be hanging around.
Most lumps turn out to be benign, things like cysts, lipomas, or old injuries settling down. At the same time, a small number are something more serious, including soft tissue sarcoma, a rare group of cancers that start in the body’s connective tissues.2, 5
Knowing what to look for matters in very practical terms. The aim is not to panic, it is to notice patterns that deserve a proper assessment, and to understand why doctors often recommend specific scans and a biopsy rather than “watching and waiting”.2, 6
What soft tissue sarcoma is (and what it is not)
Soft tissue sarcoma is a cancer that starts in soft tissues such as fat, muscle, nerves, fibrous tissue, and blood vessels. It can arise almost anywhere, but is often noticed in an arm or a leg because a growing mass is easier to feel there.2, 6
It helps to hold two ideas at once: soft tissue sarcoma is uncommon, and lumps are common. A lump is more likely to be harmless than malignant, but a persistent, enlarging mass is still worth checking because earlier assessment can make treatment simpler and more effective.5
There are many different sarcoma subtypes, which is one reason diagnosis and treatment planning can feel detailed. The exact type and “grade” influence how the tumour behaves and what care is recommended.6
How common it is in Australia
In Australia, soft tissue sarcoma is rare. Cancer Australia reports that it is estimated to account for about 1.5% of all new cancer cases (for example, in 2025), and that incidence is higher in males than females.1
Risk increases with age, but sarcomas can occur across the lifespan. If you are reading this because you have noticed a lump in yourself or someone you care about, it is reasonable to ask for a clear plan rather than relying on reassurance alone.1, 5
Causes and risk factors, what is known and what is not
For most people, there is no single identifiable cause. Soft tissue sarcoma develops when cells in connective tissue acquire DNA changes that allow them to grow unchecked, but why those changes occur is often unclear.6
That said, some factors are associated with a higher risk. These do not mean someone will definitely develop sarcoma, and many people diagnosed with sarcoma have none of them.
- Previous radiotherapy to treat another cancer, which can slightly increase the risk of a sarcoma developing later in the treated area.6
- Certain rare inherited syndromes (for example, conditions affecting tumour-suppressor genes), which can increase the likelihood of a range of cancers, including some sarcomas.6
- Some chemical exposures have been linked with sarcoma risk in certain settings, although this is not the everyday story for most people who develop a sarcoma.6
If strong family history is part of the picture, a GP or specialist may suggest genetic counselling. It is not about predicting the future with certainty, it is about making choices with better information.
Symptoms and the kinds of lumps that deserve a closer look
The most common sign is a lump under the skin that slowly increases in size. Early on, it may be painless and easy to dismiss. Pain can appear later if the mass presses on nearby nerves or muscles.2, 6
Doctors and cancer organisations often emphasise a few features that make a lump more concerning. A lump is more likely to need urgent assessment if it is:
- getting bigger over time2, 7
- larger than about 5 cm (roughly the width of a golf ball), or deep rather than just under the skin7
- painful, or associated with new functional problems (for example, numbness or reduced movement)2, 6
Symptoms can also depend on location. A tumour in the abdomen or chest may cause less obvious signs and is sometimes found after persistent, unexplained symptoms are investigated (for example, digestive symptoms or breathlessness).2
How doctors diagnose soft tissue sarcoma
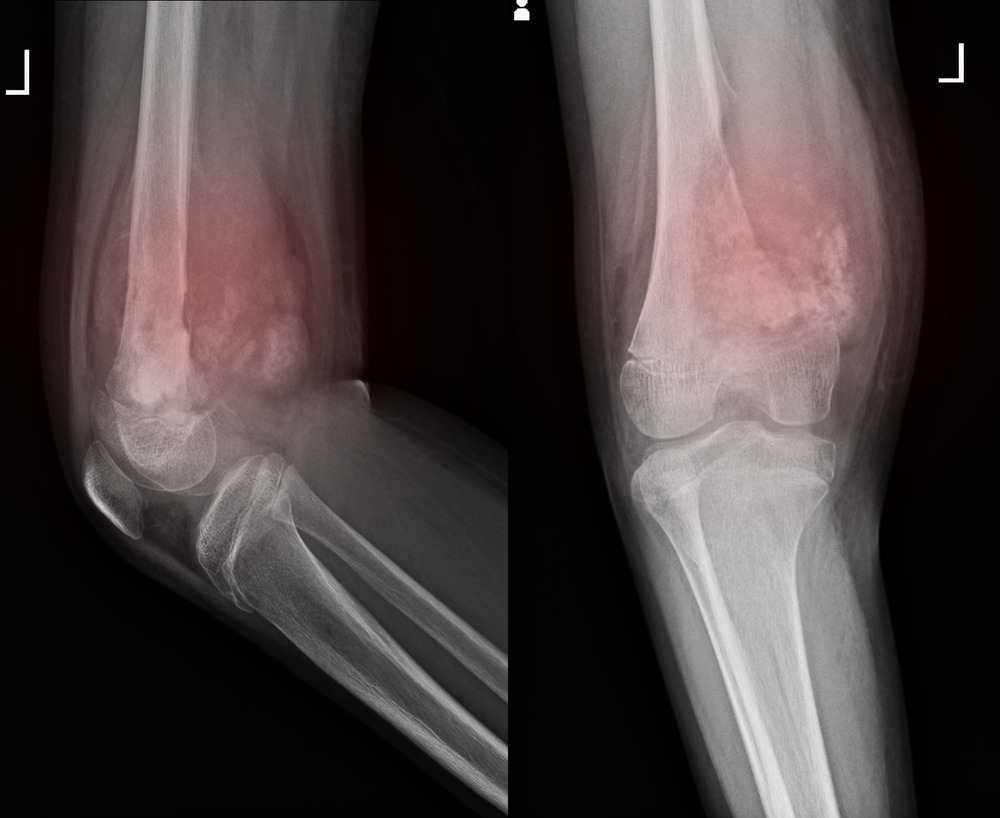
Assessment usually starts with a careful history and physical examination, then moves quickly to imaging. The goal is to understand the size of the mass, where it sits in relation to muscles, nerves, and vessels, and whether it looks like something that should be biopsied.5, 8
Common imaging includes ultrasound (often an early step for superficial lumps), and MRI or CT for deeper masses or for surgical planning. Imaging can suggest what a lump might be, but it cannot provide the final answer on its own.5, 8
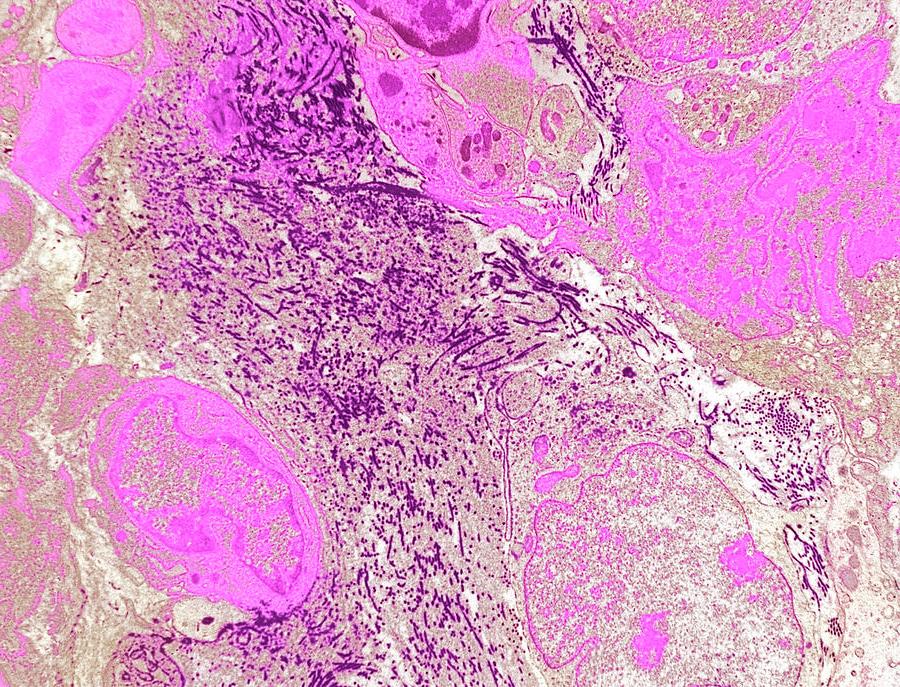
A biopsy is usually essential to confirm whether a mass is a sarcoma and, if so, what subtype and grade it is. In many cases this is done as a core needle biopsy, planned carefully so that the biopsy track can be removed during surgery if needed.8
Treatment options and why they are often combined
Treatment depends on the tumour’s size, location, grade, and whether it has spread, as well as a person’s overall health and preferences. Care is often coordinated by a multidisciplinary team, which may include surgeons, medical oncologists, radiation oncologists, radiologists, pathologists, and allied health professionals.3
For many localised soft tissue sarcomas, surgery is central, aiming to remove the tumour completely with an adequate margin of normal tissue where possible. Depending on the case, radiotherapy may be given before surgery (to shrink the tumour) or after surgery (to reduce the risk of recurrence).3, 8
Chemotherapy is used in some situations, particularly for certain subtypes or higher-risk disease, but it is not part of every person’s treatment plan. Targeted therapies may be considered for specific sarcoma types and circumstances.3
Clinical trials can be an option for some people, especially when standard treatments are less likely to help or when access to newer therapies is appropriate. A treating team can explain what is known, what is uncertain, and what participation would involve.9
Living with sarcoma: recovery, monitoring, and support
After treatment, many people are surprised by how long recovery can take, even when surgery has gone well. Fatigue, changes in strength or mobility, lymphoedema risk (depending on the site and treatment), and the emotional load of ongoing monitoring can all be part of the landscape.
Follow-up matters because some sarcomas can recur locally or spread, and surveillance is tailored to the subtype and risk. It is reasonable to ask what symptoms should prompt an earlier review, and what schedule is planned for scans and appointments.
Support is not a soft extra. Many Australians use the Cancer Council helpline and local services for practical guidance, counselling, and help making sense of treatment decisions and side effects.4, 10
Risk reduction and sensible prevention
There is no proven way to prevent most soft tissue sarcomas. The more realistic aim is earlier recognition and reducing avoidable risks where possible. That can mean taking persistent lumps seriously, and making sure investigation happens promptly rather than repeatedly monitoring a mass that is changing.
If you have had radiotherapy in the past, or you have a known inherited cancer syndrome in your family, it can be worth discussing what surveillance or checks are appropriate for you. For most people, though, the key practical takeaway is simple: a new lump that is growing, deep, or larger than expected deserves a proper assessment, even if it does not hurt.7
References
- Cancer Australia: Soft tissue sarcoma statistics in Australia
- Cancer Australia: What are the symptoms of sarcoma?
- Cancer Australia: Sarcoma treatment options
- Cancer Australia: Finding support
- NHS: Lumps
- Mayo Clinic: Soft tissue sarcoma, symptoms and causes
- Cancer Research UK: Symptoms of soft tissue sarcoma
- ESMO: Soft tissue and visceral sarcomas, clinical practice guidelines
- US National Cancer Institute: Adult soft tissue sarcoma treatment (PDQ)
- Cancer Council Australia: Contact and support (13 11 20)